F.A.C.E.S. Headline News

"TOXIC FIRES FROM BURNING PLASTICS" REMAIN A NATIONAL HEALTH THREAT - 45+ YEARS AFTER LANDMARK NYC FIRE
11/9/2021- The NY Fire Bell Club held its second annual meeting at the NYC Fire Museum on Spring Street- an historical landmark for "the city's bravest". In the name of public cancer awareness and a valuable history lesson in NYC fires, FDNY Honorary Battalion Chief Sergio Nieto, president of the FBC presented nationally recognized guest speaker- FDNY's own Ret. FF Dan Noonan, responder/survivor and crusader for the 1975 NY Tel Exchange Fire. Since 1975, Dan Noonan has tirelessly promoted and echoed "the many lessons learned" from the department's most challenging disasters. He and many voices from the fire service considered the NY Tel Exchange Fire "our First 9/11" - clearly voicing an overwhelmingly different type of disaster as far as its after-effects and the many layers of damage both to the city and to the responders, communication workers and the residents in the immediate area. (See complete article in FRCR NEWS)


FLORIDA CONDO COLLAPSE DISASTER CALLS FOR FIELD DIAGNOSTIC DEPLOYMENT
7/24/2021- With respect to victims trapped by settling wreckage, tissue damage is diagnosable and the site for appropriate triage and definitive treatment may be planned expediently. Advanced military targeting cybernetics that allowed Israeli jets to selectively pinpoint a terrorist cell in the middle of an 11-story high rise complex was used to relocate the probable escape routes of the potential survivors during the recent building collapse in Surfside, Florida. It also helped identify their possible placement within the computerized trajectory of human and structural movement, allowing one of the rescue workers to find the body of his missing daughter intact. Top NYC Imaging specialist and F.A.C.E.S. Chief Medical Advisor Dr. Robert Bard features a comprehensive review on today's point of care field ultrasound scanning technology and its advantages in rescue calls. (See complete article in Fire Engineering)

IMPROVING QUALITY OF LIFE:
The FACES Foundation proudly supports the launch of the Integrative Pain Healers Alliance (www.PainhealersGroup.org). Star member Phil Muccio, founder of Axiobionics designs high-end wearable therapeutic neuroprosthetics for injured service personnel and first responders - including this Arm BioSleeve which helps a US Veteran regain arm function after a brain injury. Sgt. Shannon Mcallister was injured in an IED blast in Iraq causing a traumatic brain injury and left side paralysis. For more than a year the arm remained frozen and lifeless until he began wearing the Axio BioSleeve muscle stimulation system. "Sgt. McCallister realized that this technology was going to offer him the hope that he was looking for. And so I convinced Sergeant McAllister to let me design a wearable therapy sleeve, what we call an upper extremity neural prosthesis. We targeted three muscle groups and I wanted to rebuild these muscles for him. So he would have improved upper extremity, strength and control and function. It didn't take very long for him to actually get to the point where he was using the arm again, functionally." (See complete article on IPHA, feat. AxioBIonics innovation)

Colorectal Cancer - 2021 Major Health Alert in the Fire Service Community
Hitting Cancer Below the Belt Inside the Fire House - By: Mindy Conklin
An internal fire has ignited and we are sounding the alarm. According to the National Cancer Institute, the rate of colorectal cancer has doubled in the under 50 year old population.[1] A 2021 study predicts this trend may continue into the foreseeable future with colorectal cancer becoming the leading cancer-related death in people between 20-49 years of age by the year 2040.(see full article)

THE 20TH ANNIVERSARY OF 9/11: MEMORIALIZED IN IMAGES
The NY Cancer Resource Alliance, the F.A.C.E.S. Foundation and MOVEMBER hosts the 20th Anniversary of the 9/11 attacks with a special NYCRA-NEWS memorial issue. We proudly feature the powerful and most compelling images of world recognized photographer ANDREA BOOHER - film producer and photojournalist. Ms. Booher has worked as a documentarian for twenty-six years. Based in Colorado, her assignments have taken her to East Africa, Latin America, Micronesia, India, Antarctica, Australia, Myanmar, Somalia, Mexico and Haiti. In the last two decades she has photo-documented every major disaster in the United States, Trust Territories and Sovereign Nations for the Federal Emergency Management Agency (FEMA). Her documentary work resides in several permanent collections, including the National Archives and the Smithsonian. In 2001, she spent 10 weeks working at Ground Zero in the immediate aftermath of the World Trade Center attack. She was one of two photographers working for FEMA with unlimited access. Her work from 9-11 has been published in magazines, newspapers and documentaries worldwide. She was personally profiled on A &E , The History Channel, CNN, Camera Arts, NPR and Photo District News.

 
HANDLING JOB-RELATED TRAUMA IN THE RESCUE SERVICE
By: Jessica Connell-Glynn & Lt. Chris Conner (Bedford Fire Dept)
Throughout a firefighter's career, rescue calls mean racing to accidents or disasters- often including traumatic images and sensations. They are usually first on the scene of any life-threatening incident, witnessing and interacting with event-related injuries, deaths or some of the most graphic and violent accidents. According to fire training experts and SAMSHA (Substance Abuse and Mental Health Services Administration), public safety personnel are expected to witness horrific scenes in the line of duty. These professionals respond to tragic events that permeate all senses including sight, sound and smell. Repeated exposures, coupled with the immense stress of roles in emergency services, can lead to an increased risk for adverse behavioral health outcomes such as distress, worry, disturbed sleep or concentration, alterations in work function, difficulties with interpersonal relationships, increases in substance use, somatization... (see full article)

COLORECTAL CANCER - 2021 MAJOR HEALTH ALERT IN THE FIRE SERVICE COMMUNITY
By: Mindy Conklin (Hitting Cancer Below the Belt )
Studies have revealed firefighters to be at higher than average risk of developing cancer. An internal fire has ignited and we are sounding the alarm. A 2021 study predicts this trend may continue into the foreseeable future with colorectal cancer becoming the leading cancer-related death in people between 20-49 years of age by the year 2040. Pouring gasoline on this cancerous fire is the risk of toxic exposure for firefighters. In 2010, the National Institute for Occupational Safety and Health (NIOSH) assessed nearly 30,000 fire fighters across the country to explore the possible connection between their work and the development of cancer. (see full article)

JOB-RELATED CANCERS By: Dr. Ben Ho Park & Dr. Robert L. Bard
The more we follow and the more we learn, the more we recognize that there are both short and long term exposures and risks that lead to diseases like cancer- some of which won't manifest for many years. An example of this is the airline industry where smoke used to always be present and second-hand smoke led to the realization that that was a carcinogen for airline attendants. Similarly speaking for firefighters, the initial exposure to smoke and all the other potential carcinogens can lead to damage in the lungs and the whole upper aero-digestive track as we call it. But in the long run things like cancer and perhaps even other lung diseases may arise as part of accumulative effects of those exposures that may seen again decades later. (see complete article)


CANCER POWERMEET #1: FIREFIGHTERS & MEDICAL COMMUNITY
The Integrative Cancer Resource Alliance launches the first virtual town-hall style video meeting called The 2021 Cancer PowerMeet series. This interactive event is part of a set of panel-driven meetings covering the topics of OCCUPATIONAL TOXIC EXPOSURES and SURVIVORSHIP AFTER THE JOB - with a list of prominent guests from the Medical and First Responders' communities.
Headliners for this event include nationally recognized spokesman for fire safety and fire rescue veteran from the 1975 NY Tel Fire & 9/11 DAN NOONAN. Alongside Mr. Noonan is 35+ year cancer medical imaging professor DR. ROBERT BARD (NYC) + associate director of the First Responders Cancer Resource Group and active duty responder in 9/11 Sal Banchitta. Together, they all share their powerful experiences about notable disasters in history, answering targeted questions from a panel of top members in the cancer care community steering public awareness and education about prevention and early detection as part of I.C.R.A.'s "Get Checked Now!" program. (SEE ARTICLE LINK)


FIRST RESPONDERS CANCER STUDY: PSA TEST VS. PROSTATE CANCER IMAGING
Prostate cancer, now considered the most common cancer in men, especially African-Americans, was rare until the 1950’s. Earlier, a blood test identifying prostate specific antigen (PSA was developed for use in “rape kits” to provide criminal evidence in court) was never designed as the screening tool for prostate cancer that it has become today. Our national guidelines recommend screening with PSA for men age 55 to 69, a recommendation that 40% of men follow. But what happens after a PSA test is termed positive?

It has been confirmed by toxicologists and medical reports worldwide that OCCUPATIONAL HEALTH DISORDERS are predominant in the fire service. First responders hold potential cancer risks from the most extreme toxic exposures in every fire rescue call. (see complete article)


EFFECTS OF CARBON MONOXIDE EFFECTS ARE CUMULATIVE - ESPECIALLY WITH FIREFIGHTERS
Chief Anthony Bruno, decorated career firefighter with the FDNY (1962-1989) achieved top ranks of leadership as Captain of ladder 12 on 17th Street in Manhattan in the late 70's then Chief in Bushwick, several years later. Celebrating his official retirement from the department in 1989, Chief Bruno found himself suiting up again, this time as a volunteer in the 9/11 WTC disaster of 2001. He and the thousands of first responders raced to southern Manhattan to help all survivors, only to be exposed to some of the most lethal neurotoxins and carcinogenic compounds expelled by the incinerated building materials where The World Trade Center towers once stood. Throughout his career, Chief Bruno took the initiative to research and investigate the health effects of carbon monoxide exposures to first responders. Standardized blood samples showed reports of lethal levels of carbon monoxide in the system three or four hours after the event. Because of this, he implemented the use of advanced testing devices (c/o the NY EPA) to check for CO levels in the exhaled breath- with 97% accuracy. Chief Bruno saw the value in this testing protocol as he proposed a department-wide screening program to identify those suffering from too much exposure. (see complete article)


Diagnosis and Treatment Solutions of Inhaled Toxins
The symptoms of carbon monoxide poisoning are usually non-specific. In patients with unclear neurological symptoms and possible exposure, carbon monoxide should be urgently considered as a differential diagnosis. (see complete article)

 

See us at the new issue of: (link)

News Updates from:

9/11 FIRST RESPONDERS FACE ANOTHER HEALTH CHALLENGE IN COVID-19
6/9/2020- Arthur Lacker spent two-and-a-half years hauling debris from the World Trade Center site after 9/11, breathing in the toxic dust (see complete article)

5/4/2020- John Feal, a 9/11 first responder, says contracting coronavirus was like “getting hit by a bus and then being backed up by that bus over and over again.” “[it] just makes me want to do more for others,” he says about helping get supplies for first responders. (see complete article)

 

CARCINOGENIC COMPOUNDS FOUND IN FIRE ZONES
(source: Professor D. Purser, toxicologist)

• (2,3,7,8) Tetrachloro
..-dibenzodioxin
• Acrolein
• Aldehydes
• Asbestos
• Benz[A]Anthrene
• Benzene
• Benzo[A]Pyrene
• Carbon Fibre
• Carbon Monoxide
• Carbonyl Fluoride (COF2) 
• Ceramic
• Crotonaldehyde
• Dibenzofurans
• Dioxins
• Formaldehyde
• Furans
• Histone (H3.3)
• Hydrochloric Acid (HCl)
• Hydrogen Cyanide (HCN)
• Hydrogen Fluoride (HF)
• Isocyanates
• Metal Particulates
• Metals: Lead (Pb) & Cadmium (Cd)
• Nitrogen Oxides (Nox)
• Organic Irritants
• Phenol
• Phosphorous/Phosphate (P04)
• Polyaromatic Hydrocarbons
• Polychlorinated Biphenyls (Pcbs)
• Polycyclic Aromatic Hydrocarbon     – (Pahs)
• Styrene
• Sulfur Dioxide (SO2)

 

CANCERS FOUND IN 9/11 EXPOSURE (source: CDC.GOV)

Diffuse non-Hodgkin lymphoma
Burkitt's tumor
Diffuse non-Hodgkin lymphoma
lmmunoblastic (diffuse)
Large cell (diffuse)
Lymphoblastic (diffuse)
Mixed small and large cell (diffuse)
Follicular (nodular) non-Hodgkin lymphoma
Follicular non-Hodgkins
lymphoma, unspecified
Large cell, follicular
Mixed small cleaved and large cell, follicular
Small cleaved cell, follicular
Hodgkin's disease
Hodgkin's disease, unspecified
Lymphocytic depletion
Lymphocytic predominance
Mixed cellularity
Nodular sclerosis
Other Hodgkin's disease
Chronic leukemia
Subacute leukemia
Lymphoid leukemia
Acute lymphoblastic leukemia
Adult T-cell leukemia
Chronic lymphocytic leukemia
Hairy-cell leukemia
Lymphoid leukemia, unspecified
Other lymphoid leukemia
Prolymphocytic leukemia
Subacute lymphocytic leukemia
Malignant immunoproliferative diseases
Alpha heavy chain disease
Gamma heavy chain disease
lmmunoproliferative small intestinal disease
Malignant immunoproliferative disease, unspecified
Other malignant immunoproliferative diseases
Waldenstrom's macroglobulinemia
Monocytic leukemia
Acute monocytic leukemia
Chronic monocytic leukemia
Monocytic leukemia, unspecified
Other monocytic leukemia
Subacute monocytic leukemia
Multiple myeloma and malignant plasma cell neoplasms
Multiple myeloma
Plasma cell leukemia
Plasmacytoma, extramedullary
Myeloid leukemia
Acute myeloid leukemia
Acute myelomonocytic leukemia
Acute promyelocytic leukemia
Chronic myeloid leukemia
Myeloid leukemia, other
Myeloid leukemia, unspecified
Myeloid sarcoma
Subacute myeloid leukemia

Letterer-Siwe disease
Lymphoid, hematopoietic and related tissue, other specified
Lymphoid, hematopoietic and related tissue, unspecified
Malignant histiocytosis
Malignant mast cell tumor
True histiocytic lymphoma
Ascending colon
Caecum
Colon, unspecified
Descending colon
Hepatic flexure
Overlapping lesion of colon
Sigmoid colon
Splenic flexure
Transverse colon
Angiosarcoma of liver
Hepatoblastoma
Intrahepatic bile duct carcinoma
Liver, unspecified
Liver cell carcinoma
Other sarcomas of liver
Other specified carcinomas of liver
Body Cardia
Fundus
Greater curvature, unspecified
Lesser curvature, unspecified
Overlapping lesion
Pyloric antrum
Pylorus
Stomach, unspecified
Bronchus or lung, unspecified
Lower lobe, bronchus or lung
Main bronchus
Middle lobe, bronchus or lung
Overlapping lesion
Upper lobe, bronchus or lung

There's a lot more: please visit CDC.GOV website for the full list.

IN THE NEWS

John Feal and the FealGood Foundation: ENSURING CANCER CARE FOR 9/11 FIRST RESPONDERS
By 2010, a new form of devastation appeared out of the shadows: a significant number of advanced and aggressive cancer cases suddenly grew within the many surviving rescuers and ground zero exposed. These victims were formerly cleared of any illnesses at first testing are now showing surprising numbers of cases of over 68 cancer types in the blood, brain, lung, liver, thyroid and skin...
See complete article

 

The First Responders Cancer Awareness program is a 2-part study where the One-Two punch in fighting cancer is about DIAGNOSTICS and TREATMENT. Check out Cousin Sal's video interview of cancer expert Dr. Jesse Stoff as he covers the many cancer treatment options available. Check out his private interview

 


STATE TROOPERS HONORS 9/11 COMMUNITY- UNITY & RECOGNITION IS STRONGER THAN EVER

The New York State Troopers PBA, through its State Trooper Surgeons Program, honored several key medical professionals who have been instrumental in saving or improving the lives of NYS Troopers or their family members. in addition, one of the first honors (the Stetson Award) went to JOHN FEAL for his selfless support of the NYS Troopers. They also wanted to honor every first responder who attended - throughout the 18 years of political upheavals and getting everyone certified (with the WTC program). • Visit the complete feature @ First Responders Health Resource BlogNews LinkSee Event Photos

FRATERNAL ORG NEWS: FIRST RESPONDERS CANCER AWARENESS PROGRAM #2: REVIEW OF ALL TREATMENT SOLUTIONS

NYCRA and the first responders cancer resource program is about to launch phase 2 of its' cancer awareness topics. Where the first topic of our public educational outreach covered the many CANCER DIAGNOSTIC and TECHNOLOGIES available, this month shall introduce the next segment covering a global review of CANCER TREATMENT OPTIONS. NYCRA's top integrative cancer expert & cancer awareness speakers present this next important chapter at the upcoming RMA/FDNY meeting on June 25, 2019. They cover an easy to understand review of the many strategies and solutions in the management and treatment of cancer as part of a traveling presentation aptly titled "So you think you know Cancer?"

Press Release: RMA Meeting PDF- (6/25/2019)BlogNews Link


 

 


Click HERE to read: SCANNING BURNS IN REAL TIME
In emergent situations like fire rescue, advancements in technology are (now more than ever) leaning toward more accurate real-time performance for on-site use. Care for BURN victims (and other major skin injuries) demand a more efficient way to evaluate trauma depth and wound healing without the risk of complications. The application of high-frequency sound waves in devices such as the high resolution 3D sonograms allows us to identify and analyze dermal and subdermal injuries ...

Click HERE to read the direct effects of 9/11 toxin exposure to the prevalence of ASTHMA. Where logic may dictate that the giant plume of noxious dust should equate to pulmonary issues within moments of contact, physicians have observed that certain body types carrying a special genetic makeup or possibly a unique tolerance may actually resist or even 'hide' any symptoms until well past a decade from the exposure.

Click HERE to read: PTSD ON THE JOB: High risk professions like emergency response are known to have exposure to some of the most extreme levels of trauma - both physically and psychologically. They range in effects from manageable symptoms to crippling disorders. Over time, most people overcome disturbing or traumatic experiences but others who get affected may trigger a reaction that can last for months or even years. This is called Post-traumatic Stress Disorder, or PTSD. Read our latest article: "The Major Occupational Hazard of Post Traumatic Recall" (PDF)

Click HERE to read all about some of the DEADLIEST TOXINS identified in fire zones by renowned toxicology expert Prof. David Purser. Also review medical comparisons in cancer latency and recurrence cases between CHERNOBYL and 9/11 + our first Pulmonary study in our summer newsletter feature" "IT ALL STARTS AT THE LUNGS"

 

 

ARCHIVE NEWS

RMA NEWS: "NY Cancer Resource Alliance Presents Awareness and Screening Options to Retired Firefighters"

4/30/3019 Brooklyn, NY -- The Retired Member’s Association of the FDNY (RMA) introduced the First Responders Cancer Resource team to present cancer awareness to a packed house of career firefighters. Topics included Early Detection & Prevention, getting a SECOND OPINION and the vigilant message of “Get Checked Now!”. Dr. Robert Bard, head clinical advisor made a surprise appearance to speak about 9/11 cancers and supported the RMA health directive. (See complete article) also see PR NEWSWIRE for complete press release.

LEONARDO DA VINCI'S 500 YEAR ANNIVERSARY AND ITALIAN MEDICAL CONTRIBUTION TO ADVANCED CANCER IMAGING & DIAGNOSTICS

When we think Italian Pioneer- who comes to mind? In the world of Cancer Diagnostic Imaging, (believe it or not) Leonardo Da Vinci had a hand in it too! The history of cancer treatment advancements attribute much to a community of pioneers in radiology from Italy who brought extensive contributions to the science of cancer screening, imaging and diagnostic innovations. Names such as Drs. Luigi Solbiati, Carlos Martinoli & Rodolfo Campani helped to pave the global movement for non-invasive detection of all cancer tumors and other subdermal disorders... (See complete article)

9/11 FIRST RESPONDER BECOMES PUBLIC ADVOCATE FOR CANCER PREVENTION AND SURVIVORSHIP

Meet Mr. Sal Banchitta. Recently retired from “the job”, he continues to support the entire community of first responders as a health and wellness advocate and a public speaker about maintaining continued health checkups and a proactive approach to health, safety and wellness. Sal is an elected Senior Ambassador of the “GET CHECKED NOW!” program developed by the clinical leaders of AwarenessforaCure.org and is also one of the contributing writers of the 9/11 Survivor Stories Newsletter. (See his complete interview)

Published by Awareness for a Cure & the NY Cancer Resource Alliance

Welcome to the FIRST RESPONDERS CANCER RESOURCE. Formerly the 9/11 CancerScan program, FTCR is a joint alliance between medical and clinical professionals and advocacy groups dedicated to bringing support to all first responders who may be affected by the many cancer risks and injuries "on the job".

WHO ARE WE AND WHAT CAN WE DO?
Environmental toxins and carcinogens often arise from chemicals propelled at high temperatures where a rescuer exposed to this can have lasting effects on his or her health. Our organization is founded by a joint advisory partnership between first responders & survivors exposed to 9/11 and medical professionals who are experienced working with firefighters and 9/11 cancer cases. We are also patient advocates whose public awareness and educational efforts are dedicated to "getting the word out" about the latest information pertaining to the health and safety of all responders. Together, we have established a set of resource efforts online providing useful information and access to other cancer foundations, funding resources, support groups, clinical facilities and treatment innovation options and other ways that may support existing patients or the prevention and early detection to help our first responders.

Let us know how we can help our heroes stay safe!


When It's Time to Speak to a THERAPIST (part 1)
Mental Health is a concern in the first responder community especially since the 9/11 attacks where traumatic experiences could greatly affect our lives in complex and debilitating ways. Here are some troubling signs that may indicate a need for help." First responders are constantly exposed to many unforeseen challenges of (and from) the job- many of which can cause a lasting impression to the body or the mind. (see complete article)
   

 

Innovative New Cancer Detection from A "SIMPLE BLOOD TEST"
Recently, a new form of blood test called IvyGene can confirm the presence of cancer as early as stage 1 by providing measurable data in the form of a score to make it easier to understand- while confirming the presence of cancer early, when it can be more easily managed and treated. "...our mission is to make cancer testing available and affordable for everyone. We work closely with thousands of physicians nationwide to provide early cancer confirmation and save lives sooner. Unlike many genetic tests that use DNA to determine the propensity or possibility of developing cancer over time, the IvyGene test confirms actual disease presence at the time of testing." (see complete article)

SPECIAL VIDEO: Cancer Detection for Firefighters using Genetic/Blood Testing
The Beford Fire Dept is among the growing list of fire departments across the U.S. that are now pursuing advanced cancer detection protocols due to the job-related risk and elevated exposure to hazardous materials linked to cancers. (see video)


Richard Marrone & the 9/11 Cancer Resource Group
Richard Marrone is a career veteran with the NY Fire Department, an active FDNY Paramedic trainer and a first responder at 9/11-- his interest and personal insight to the concerns of ALL responders led to deeper exchange with the cancer imaging directors and soon became the establishment of a major public health outreach project and support network called the 911CancerScan program. (See Full Article)

 

Types of Cancers from WTC Disaster - an Overview Dr. Jesse A. Stoff
For people who have been exposed to the fallout (as lethal as radioactive fallout) and the dust from the 911 catastrophe, we're seeing not just these kinds of cancers but many other cases that are considered to be rare in prior groups. These rare cancers are delineated on the CDC website and are occurring, undoubtedly, because of the mixture of toxins that people have been exposed to. The volume of these toxins are absorbed into their bodies since 9/11 (while working with the clean-up efforts) and can't get rid of them. (See Full Article)
 
 

THE 9/11 CANCERSCAN PROGRAM -
provides diagnostic options targeting the most common health issues recorded from 9/11 exposure. Use of advanced sonogram technology out-performs MRI’s, X-Rays and CT-Scans and is a safe, non-invasive and radiation-free option to accurately gather real-time images of the inside of the body. It is used to find anomalies and help diagnose any injuries, tumors, cysts and infection while allowing the diagnostician the ability to zoom and ‘travel’ deep into the body for maximum exploration.

SCAN 1: For all new patients, it is recommended to start with a diagnostic imaging exam of the patient’s LUNGS, BLADDER, THYROID and LIVER to seek out any significant cysts and tumors. These are the more common organs that would show any telltale signs of any further issues in the body.

PROSTATE: The CDC has recorded Prostate Cancer as the second largest number of cancer cases in first responders. We offer a comprehensive prostate scan using advanced doppler technology to monitor and identify any cancerous issues that may pre-exist.

ADVANCED LUNG STUDY: Airborne toxins and carcinogens make their way throughout the body starting with the lungs. A more in-depth look at this area helps us identify any infections past or present from scarring or early stages of growths in the nearby airways. This can also be used as a preventative or early-detection procedure for possible future cases of Lung Cancer.

FULL SKIN DIAGNOSTICS: The CDC rated non-melanoma skin cancer (NMSC) as the most common tumor in 9/11 cases. Skin cancer rates are continuing to rise and the most deadly form (melanoma) may be ruled out by 3D Doppler histogram imaging and advanced optical diagnostics.


The World Trade Center Attacks are still going on for so many with the new wave of cancers. Visit our 9/11 HEALTHWATCH NEWSLETTER for new updates, articles, interviews and features affecting our community of responders. (MORE)

PREVENTION & DETECTION PROGRAM:
CANCER DIAGNOSTICS PROGRAM FOR FIRST RESPONDERS & SURVIVORS

Historical reports show significant cancer claims from emergency rescue units- especially FIREFIGHTERS. Where prior diagnoses may not identify dormant cancer strains, this program is attuned to search for and recognize markers from a thorough and comprehensive review with the use of advanced Histogram Analysis technology. Dr. Bard's program is also available for pinpointing a more accurate 'second view' of the behavior of pre-existing 9/11-related cancer cases (thyroid, kidney, prostate, lung, pancreatic, leukemia & multiple myeloma, etc.) and can recommend solutions that may confirm or invalidate prior reviews. Also, the BCD program is designed to providing a detailed analysis of many tumors, cysts or premalignant lesions that is complementary to most recognized biopsy reports without the invasive surgical procedure!

Another effective "weapon" in the battle against this epidemic is the Bard Cancer Diagnostic Program: From Advanced Cancer Scanning to the Non-Invasive "Digital Biopsy". Once the patient has been certified (and validated) by the WTC Health Program, individuals suffering from 9/11 related illnesses can receive VCF Compensation and reimbursements for their medical treatment. Patients now have their own choice of health professionals and the option to pursue recently available advanced medical care.

Dr. Robert Bard, expert Cancer diagnostician and the Northeast’s expert in 4D Doppler Imaging has developed the POST 9/11 CANCER DIAGNOSTICS PROGRAM. His NYC-based facilities (Bard Cancer Diagnostic Imaging) are equipped with only the most advanced state-of-the-art technologies that often out-performs higher-priced MRI’s, CT-Scan’s and X-Rays while promising to deliver more affordable and accurate reports in REAL-TIME from a process that's ready in MINUTES. BCD is prepared to provide any 9/11 first responder or survivor with advanced cancer screenings to search for impending cancers. Pre-cancerous symptoms that may arise as per the rising reported numbers of post-9/11 cancer cases are evaluated quickly, accurately and painlessly.

BARD CANCER DIAGNOSTIC IMAGING(NYC) has isolated and scanned countless cases of cancers using the most advanced diagnostic imaging technologies worldwide. We provide early detection and real-time "digital biopsies" of many tumor types using 4D Doppler innovations bringing accuracy and expediency to the comprehensive report- within MINUTES. For our patients, this is a priceless advantage that cuts down the wait time, decreases travel (to multiple diagnostic centers) and reduces the insurmountable level of stress and intolerable problems of today’s increasing medical bureaucracy. Our technology outperforms the advantages of MRI, X-ray and CT scans by 20-to-1. We have an uncompromising system that’s unique to the health care profession whereby our combined experience and technical advancements are called upon by many university hospitals and private practices today. My services were recently utilized during the terror attack in Nice by the truck driver who mowed down innocent civilians on the French Riviera where-x-ray and CT services were overwhelmed (I am a current member of the French Radiology Society-Societe Francaise de Radiologie since 1999)

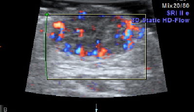
9/11 NECK CANCER CASE
With the aid of 4D Doppler Technology, Dr. Bard can identify, detect and analyze many tumors from pre-malignant areas to advanced cancerous cases. The regular sonogram shows a malignant disorder (top) while the 4D scan (bottom) displays a mass filled with cancerous arteries and veins meaning this is highly aggressive requiring immediate attention.


9/11 MESOTHELIOMA CASE
Exposure to toxins may produce cancers in many organs. This patients chronic cough prompted a chest sonogram showing a pulmonary tumor that had produced malignant fluid partially collapsing the breathing volume but had not yet metastasized below the diaphragm. The liver, an early target of cancer seeding, was clearly seen to be untouched in the same sonogram study simply by moving the probe from the chest wall to the abdomen sparing our patient from extra testing and mental stress over the possible spread of disease.


9/11 CANCER SCARE-SAME PATIENT 6 MONTHS AFTER TREATMENT
Our mesothelioma patient (pictured above) had a minor injury and noticed a new lump under the small bruise. A 5 minute scan showed the discoloration was caused by minor blood vessel damage due to the underlying BENIGN fatty tumor.  Cysts and other non-malignant disorders can be distinguished from metastatic lymph nodes (glands) providing “real-time” relief of anxiety of cancer recurrence.


  MPR-TV reports on Advanced Cancer Doppler Imaging. Meet Dr. Robert L. Bard (award-winning cancer diagnostician and expert imaging specialist). Get the facts about the many new 9/11 Cancer Cases 18 years since the terror attacks- and how we are waging a new war with advanced technology like the use of 3D/4D Doppler Histogram Scans.

 

 
Copyright 2018- Awareness for a Cure and NYCRA (NY Cancer Resource Alliance). All Rights Reserved.

DISCLAIMER | AWARENESS FOR A CURE | NY CANCER RESOURCE ALLIANCE

.
Disclaimer & Copyright Notice: The materials provided on this website are copyrighted and the intellectual property of the publishers/producers ( the NY Cancer Resource Alliance / IntermediaWorx inc). It is provided to you solely for your own personal, non-commercial use and not for purposes of resale, distribution, public display or performance, or any other uses by you in any form or manner whatsoever. Unless otherwise indicated on this Internet web site, you may display, download, archive, and print a single copy of any information on this Internet web site, or otherwise distributed from us for such personal, non-commercial use. Also, certain content may be licensed from third-parties. The licenses for some of this Content may contain additional terms. When such Content licenses contain additional terms, we will make these terms available to you on those pages, in the Terms of Use or in the Additional Information section of our Site (which his incorporated herein by reference).The publishers/producers of this website and the contents of this website such as videos, graphics, text, and other materials published are for informational purposes only and is not intended to be a substitute for professional medical advice, diagnosis, or treatment. For any questions you may have regarding a medical condition, please always seek the advice of your physician or a qualified health provider. Do not postpone or disregard any professional medical advice over something you may have seen or read on this website. If you think you may have a medical emergency, call your doctor or 911 immediately. This website does not support, endorse or recommend any specific products, tests, physicians, procedures, treatment opinions or other information that may be mentioned on this site. Referencing any content or information seen or published in this website or shared by other visitors of this website is solely at your own risk. The publishers/producers of this Internet web site reserves the right, at its sole discretion, to modify, disable access to, or discontinue, temporarily or permanently, all or any part of this Internet web site or any information contained thereon without liability or notice to you.